Olá prazer sou a Dra Fernanda, cirurgiã-dentista, e a odontologia é muito mais do que minha profissão: é a minha paixão.
Acredito no poder transformador do sorriso e em como ele pode mudar vidas, resgatar autoestima e devolver confiança.
Cada paciente é único, e meu propósito é oferecer um atendimento humano, cuidadoso e personalizado, unindo ciência, técnica e sensibilidade para transformar histórias através de sorrisos.
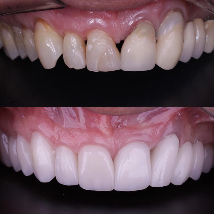
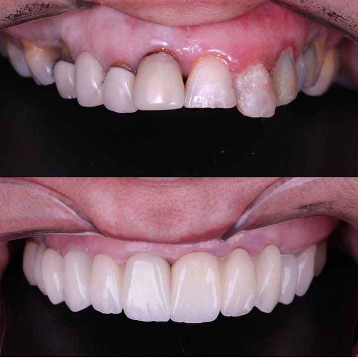
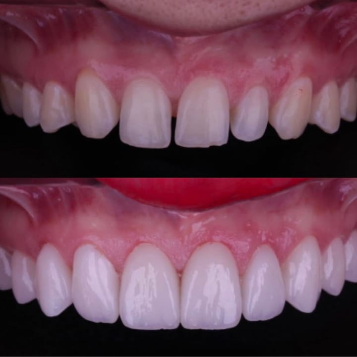
Lâminas ultrafinas que corrigem cor, formato e tamanho dos dentes, criando um sorriso mais harmônico e natural com mínimo desgaste dental.
Tratamentos integrados que restauram função e estética, devolvendo mastigação, conforto e um sorriso completo e saudável.
Soluções estéticas e fixas para substituir dentes perdidos ou restaurar dentes danificados, garantindo conforto e naturalidade.
Repõe dentes perdidos por meio de implantes fixos e seguros, devolvendo estética, estabilidade na mastigação e a confiança de sorrir com naturalidade.
Solução fixa sobre implantes para quem perdeu todos os dentes. Proporciona estabilidade, estética natural e mastigação firme, substituindo a dentadura com conforto e segurança.
Responsável pela prevenção, diagnóstico e tratamento das doenças da gengiva, como inflamações, sangramentos e perda óssea, preservando a saúde bucal.
Procedimento que corrige retrações gengivais, melhora a estética do sorriso e protege a raiz dos dentes contra sensibilidade.
Procedimento estético que corrige a exposição gengival excessiva, remodelando o contorno da gengiva e trazendo mais harmonia, proporção e beleza ao sorriso.
Procedimentos orais seguros e precisos, como extrações e cirurgias avançadas, realizados com tecnologia e máximo conforto.
Tratamento que elimina infecção e dor dentro do dente, preservando a estrutura dental e evitando extrações desnecessárias.
Corrigir dentes tortos e melhorar a mordida com discrição, conforto e resultados previsíveis.
Correção de cáries e fraturas com materiais estéticos que devolvem forma, função e aparência natural ao dente.
Ajuda a prevenir doenças gengivais e cáries, controlam inflamações e mantêm a saúde bucal em equilíbrio, garantindo um sorriso saudável o ano todo.
Tratamento seguro que clareia o tom dos dentes, realça a estética do sorriso e proporciona mais luminosidade, sem danificar a estrutura dental.
Técnica estética e terapêutica usada para suavizar rugas, tratar bruxismo e harmonizar o sorriso com naturalidade.
Agende a sua consulta e dê o primeiro passo para um sorriso mais saudável e bonito.
Sou a Dra. Fernanda, especialista em Periodontia e Implantodontia. Atuo com estética, reabilitação oral e constante aperfeiçoamento para oferecer tratamentos precisos, modernos e humanizados. Minha missão é devolver saúde, função e estética ao sorriso com cuidado, precisão e acolhimento.

Cirurgiã-dentista formada há 10 anos pela UNESP Araraquara.

Especialista em Periodontia e Implantodontia (UNESP-Araraquara).

Mestre e Doutora em Periodontia e Implantodontia (UNESP-Araraquara).

Aperfeiçoamento em Lentes de Contato Dental e Reabilitação Oral.

Aperfeiçoamento em Cirurgia Oral Menor.

Mais de 1.000 implantes realizados com excelência.

Ofereço um atendimento humanizado, personalizado e exclusivo, unindo ciência, técnica e estética para transformar sorrisos com segurança e naturalidade.”










Publicado em fernando rivasTrustindex verifica se a fonte original da avaliação é Google. Quero deixar meu parabéns a dra Fernanda e toda sua equipe , atendimento humanizado, primoroso e diferenciado em cada detalhe , consultório lindo e moderno , equipamentos de altíssima qualidade, super recomendo , me surpreendeu !!!Publicado em Vera AlvesTrustindex verifica se a fonte original da avaliação é Google. Dra Fernanda, Obrigado por ser a razão por trás dos nossos sorrisos confiantes e radiantes. Seu trabalho não é apenas sobre dentes; é sobre fazer as pessoas felizes. Gosta de explicar sobre o tratamento a ser feito para que seus pacientes tenham segurança do seu trabalho. Isso é muito importante. Fora o consultório que um aconchego. Parabéns! 🙏🏻Publicado em Caio PanissiTrustindex verifica se a fonte original da avaliação é Google. Super indico. A Dra Fernando é muito atenciosa, cuidadosa e detalhista. Já fiz diversos tratamentos com ela e todos foram perfeitos, excelente profissional. A recepcionista que faz os agendamentos é super atenciosa e educada também.Publicado em Diego OrtizTrustindex verifica se a fonte original da avaliação é Google. Excelente profissional! Realizei meu tratamento dentário com ela e fiquei super satisfeito. Hoje minha família também é paciente dela. Indico com certeza!Publicado em Guilherme MunhozTrustindex verifica se a fonte original da avaliação é Google. Equipe fantástica!! Dra Fernanda sempre atenciosa e atenta nos detalhes que fazem a diferença.Publicado em Ísis de Fátima BalderramaTrustindex verifica se a fonte original da avaliação é Google. Ser atendida pela Dra. Fernanda foi maravilhoso! Super indico o tratamento com ela! Ela teve todo cuidado, amor e carinho com a minha saúde bucal e estética. Muito obrigada Dra.Publicado em Nicoly Andreucci GonçalvesTrustindex verifica se a fonte original da avaliação é Google. uma dentista incrível, atenciosa com os pacientes, sempre fazendo o melhor e tratando todos da melhor forma, amei a minha experiência com a dr fernanda e a recomendo muitoPublicado em Regina Gonçaves CastanheiraTrustindex verifica se a fonte original da avaliação é Google. Fiz transplante ósseo e posteriormente implante de vários elementos . Excelente profissional, procedimentos realizados com extremo profissionalismo e excelente resultado. Grata doutora!Publicado em Caroline CoutoTrustindex verifica se a fonte original da avaliação é Google. Fernanda é uma profissional super atenciosa! Está sempre se atualizando para melhor atender os seus pacientes. O tratamento foi ótimo, super recomendo!Publicado em Camila MarcantonioTrustindex verifica se a fonte original da avaliação é Google. Profissional excepcional!